CLASS II - Esthetic Approach by Dr. Mia Vukelić (Case Report)


The patient visited the clinic for an annual check-up. Following a clinical and radiographic examination, a secondary carious lesion was diagnosed on occlusal surface of tooth 26 and two additional carious lesions on the distal surfaces of teeth 24 and 25. The patient reported no specific symptoms. The prescribed treatment involves the placement of a Class I restoration on tooth 26 and Class II restorations on teeth 24 and 25.
![]() |
![]() |
After proper isolation with a rubber dam and placement of wedges, the cavity preparation began with a cylindrical bur. Following the removal of the restoration, we proceed to eliminate demineralized dentin using a steel bur. The final cavity refinement involved converting convergent walls into divergent ones and polishing the internal cavity surface with diamond polishing burs.

![]() |
![]() |
The adhesive procedure involved a selective etch pretreatment of enamel with 35% phosphoric acid gel (Ultra-Etch™ etchant, Ultradent Products) for a duration of 15 seconds.

After rinsing with water for 30 seconds, the application of a two-component adhesive system (Clearfil™ SE Bond, Kuraray*) follows. Initially, the primer was applied, followed by the application of the bond, and its polymerization using a VALO™ cordless curing light (Ultradent Products).
![]() |
![]() |
For the restoration of the proximal wall, Ultradent Products’ Halo™ matrices and Ultradent Products’ Halo™ ring were used.
The modified centripetal build-up technique was employed. The initial step involved applying a layer of flowable composite with a thickness of 0.5 mm (Tetric EvoFlow™, Ivoclar*).
The material used for the restoration was Transcend™ composite (Ultradent Products). The proximal wall was created with the EW shade, while the subsequent two horizontal layers were in the A3D shade. Secondary characteristics were achieved using Kolor + Plus™ color modifier - brown (Kerr*).
![]() |
![]() |
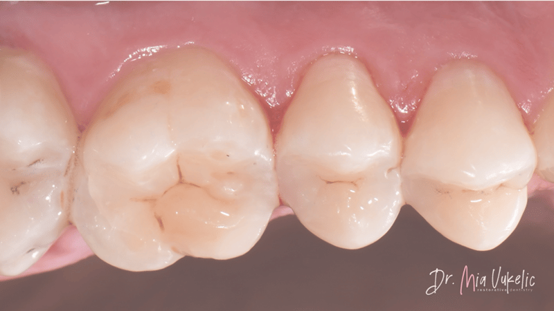
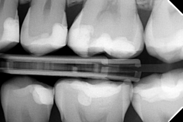
After the polishing process, the filling was coated with a surface liner (PermaSeal™ composite sealer, Ultradent Products). Occlusal and radiography control followed.
As it can be seen by the final pictures, Transcend composite offers an exceptionally esthetic appearance for the restoration. The Halo sectional matrix system allowed for a great proximal anatomy, as it can be seen on the radiograph.
![]() |
![]() |

*Trademark of a manufacturer other than Ultradent Products.










