Case Report by Dr. Rafael Beolchi
After many years in practice, there are still those special moments in which you truly feel how modern technologies can change our daily work as dentists and create a genuine “wow effect” – not only for us, but also for our patients. One of these moments occurred while treating a young, 18-year-old lady who had just successfully completed an orthodontic treatment. I have been working hand in hand for several years with the responsible orthodontist, and in this case, he contacted me aiming to achieve the best possible aesthetic outcome for his young patient.

Image 1: Compound image of the initial situation and orthodontic treatment.
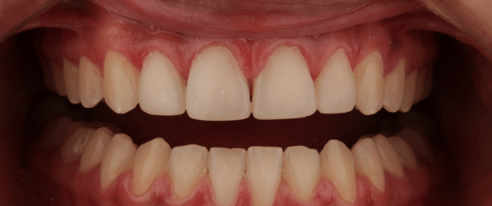
After completing the orthodontic treatment, the clinical situation showed a balanced occlusion and tooth alignment. However, significant interproximal spaces between the anterior teeth and irregularities in the gingival contour affected the overall appearance.

Image 2: Initial situation
After inspecting and evaluating the clinical case, I decided to start with the correction of the gingival tissue. The patient presented a healthy and strong gingival phenotype; however, it was noticeable how in some regions the papilla was too tick. Besides that, the gingival arch on the left upper lateral incisor also needed adjustment so to provide a better symmetry. A planning method using 3-D scanning and model printing, plus traditional wax-up and mock-ups provided precise details and visually made it easier to notice how important would be to modify the gingiva to achieve a more harmonic aesthetics.

Image 3: Gingival highlight

Image 4: Mock-up
For the actual surgical procedure, the use of a modern laser technology was chosen, opposite to the traditional surgical approach with a scalpel. Being an advocate of minimally invasive therapy, I opted for gingivoplasties and gingivectomy using a diode laser for soft tissues, also because of the ease of use of this technology. The Gemini EVO™ 810 + 980 opened the opportunity to quickly shape the gingiva, and with precision. Yet, the benefit which impresses me, is its simple handling and how easy and fast those procedures are.
The Gemini laser is extremely gentle and safe on soft tissue. Thanks to its controlled super-pulsed peak power, the period of thermal relaxation is improved, which prevents the undesired collateral tissue damage from charring under excessive temperature. These parameters are automatically set by the device, which makes it safer and easy to use.
Another added benefit of diode-laser assisted soft tissue surgery is achieving immediate haemostasis, plus a cauterized tissue (which dramatically decreases post operative pain). Also, due to the average temperature achieved by the surgical tip, the surgical site is also sterilized. Finally, the metabolic benefits given by diode lasers over ATP production in the surgical site are well known, improving healing, and decreasing the time needed for so. The benefits only add up, especially when compared to conventional surgical or electrosurgical procedures. Overall, the diode laser allows for a much more efficient workflow.

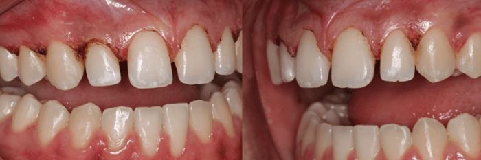
Image 5: Immediately after the gingivectomy with the Gemini EVO 810 + 980 diode laser / before the composite restoration
Another added benefit from diode laser surgeries is that in most cases, composite build-up can be made immediately after the surgical procedure. Thus, I was able to start the restorative protocol immediately without any loss of time. The tooth surfaces were etched with 35% phosphoric acid before Peak™ Universal Bond was applied.
For the restorations, I chose Transcend™ universal composite. It is suitable for both anterior and posterior teeth. A simplified approach, using only one shade (Universal Body) made the procedure much easier when compared to complex layering techniques. Being a very well-balanced composite in terms of opacity-translucency, there was no need for the use of an opaquer or any other blocker shade.
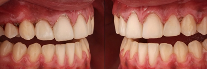
After light curing with the VALO™ X curing light, I chose to polish the restorations following a Jiffy™ sequence. The immediate post-op result can be seen on images 6a and 6b.


Images 6a and 6b: Compound image of immediate post-op pics
After an 18-day period, the patient came back for both final polishing and healing assessment of the surgical sites. The patient experienced practically no inflammation nor any discomfort after the procedure. As mentioned above, another difference compared to scalpels and/or electrosurgery is that diode lasers have a biostimulatory effect, which significantly accelerates the healing process. Tissues are activated at the cellular level through infrared stimulation, which promotes a faster recovery. Studies show that infrared laser stimulates cytochrome c-oxidase (CCO), an enzyme in the inner mitochondrial membrane which helps harnessing energy in the ATP synthesis.
Clinically, it is easy to notice how this helps in controlling inflammation, which in turn helps enhance wound healing. The combination of diode-laser surgery and direct placed composites is one of the key advantages of modern Dentistry: they allow for a fast, efficient treatment protocol which is much more comfortable for patients.

Image 7: Close up gingival healing after 2,5 weeks
Also, it was easy to notice how well these non-invasive restorations blended with the surrounding tooth colour, all thanks to Transcend composite’s sophisticated optical properties and translucency. The patient's enthusiasm was evident from the moment she first looked in the mirror. Her smile did not only look more beautiful, but also more natural and balanced – almost as if it had never been any different.

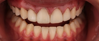
Image 8: After restoration with universal composite, shade “Universal Body” – before whitening
Nevertheless, we decided to give the result an extra brush-up through tooth whitening, by using carbamide Peroxide 10% (Opalescence™ PF 10%). After careful instructions, patient started the treatment at home for 14 days with custom made trays, overnight use. When the patient returned to the practice after finishing the treatment, the before-and-after comparison was noticeable: her tooth colour had changed from A2.5/A3 to a beautiful, bright A1. The Transcend composite restorations had fully adapted through the whitening process, blending with the now whiter natural tooth background without any visible margins or differences in colour.

Image 9: Before and after tooth whitening
Where interproximal spaces and gingival irregularities had previously disrupted the overall appearance, the patient now reveals a balanced, radiant smile. For the young lady, this did not only mean a visible aesthetic improvement but also a significant boost in confidence and quality of life - which, for me is one of the greatest rewards.

Images 10: Before and after comparison
At this stage, we can also see that there were no signs of recessions or complications, and the patient reported hardly any discomfort, if any at all. Again, thanks to the minimally invasive approach and the biostimulation of the tissue.

Image 11: Final result: close-up
An important final remark is how much gentler the learning curve of diode lasers is, a technology that integrates easily into everyday practice workflows. Working with diode laser is not only safe, efficient, and easy to learn, but it also makes the entire treatment protocol smoother, less painful, and more comfortable for everyone. In collaboration with my orthodontic colleague, we achieved a result that would not have been possible so quickly and easily without the use of a laser, mostly likely requiring the expertise of a third specialist, in Periodontics. For me, this is exactly what makes the diode laser a true added value for any practice.
This case once again proved how effective and powerful the use of laser technology can be in Dentistry when combined with well-planned aesthetic restorative protocols. My conclusion is that the use of diode lasers offers far more advantages than many users may realize. Aligned with modern restorative materials having improved blending capability, this makes up for the ideal tools to achieve a perfect balance between function and aesthetic, with only few simple steps - and to provide a proud and impeccable smile to the patients.
