By Daniel Lewis
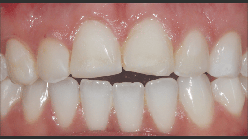
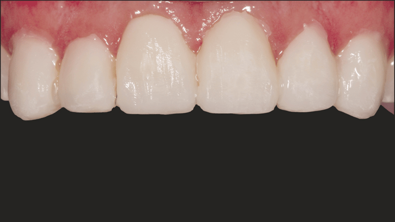
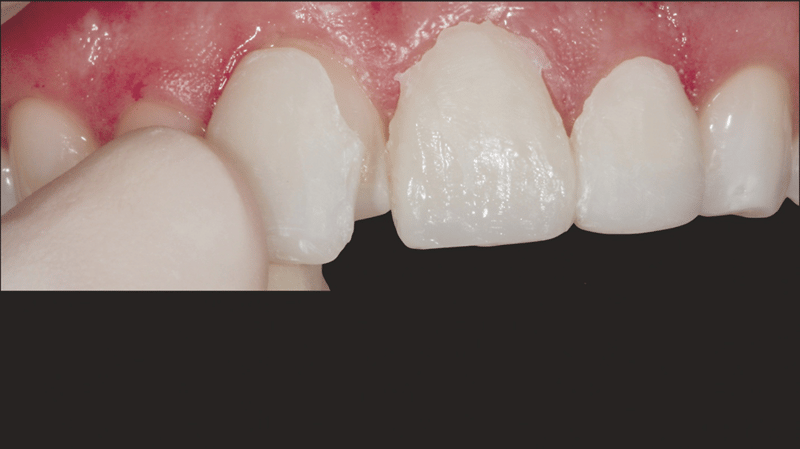
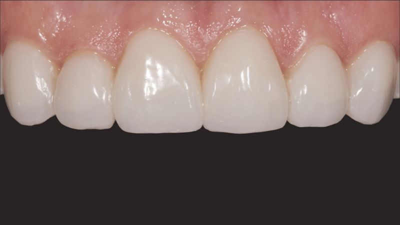
A young woman in her 20s, burdened by the discoloration of her upper anterior teeth from past trauma, came to Dr. Jaleena Fischer-Jessop, DDS, MBA, searching for a solution that would restore her smile. The patient was treated with a conservative and cost-effective solution: no-prep direct-bonded composite veneers. Dr. Fischer-Jessop chose this method to mask the discoloration and match the patient’s upper teeth with the lower anteriors—avoiding the need for more invasive procedures like implants or costly lab processed veneers. The shades B1D and Enamel White (EW) were selected to lighten the teeth and Transcend™ composite’s Universal Body (UB) shade was used to ensure the margin blended naturally into the cervical areas.
Case Analysis and Step-by-Step Procedure
- Patient Background: A female patient in her 20s with a history of trauma to her upper anterior teeth. Despite the trauma, the teeth remained stable, so implants were not necessary.

- Esthetic Concerns and Financial Considerations: The patient expressed concerns about the appearance of her teeth and was financially constrained. Given the circumstances, no-prep direct-bonded composite veneers were chosen as the solution.

- Composite Placement: Transcend composite in B1D shade was placed starting 2/3 up from the incisal edge, gradually thinning towards the gingival area. The Universal Body (UB) shade was applied near the gingival 1/3, with final layers using Enamel White (EW) and a small amount of UB at the gingival margin for natural blending.

- Veneer Separation: A #12 blade and separating saw were used to carefully separate the veneers, ensuring precision.

- Removal of Composite Veneers: The composite veneers were removed.

- Margin Contouring: A fine mosquito needle diamond bur was used to contour the margins, achieving the desired shape.

- Polishing and Preparation for Cementation: The veneers were contoured and polished using the Jiffy™ Natural polishing kit, readying them for the cementation process.

- Internal Surface Preparation: Air abrasion was performed on the internal surface of the veneer. Alternatively, Ultra-Etch™ 35% phosphoric acid can be used for this step.

- Adhesive Coating: The internal surface was coated with Peak™ Universal Bond adhesive.

- Adhesive Thinning and Curing: The adhesive was air thinned, then light-cured using the VALO™ X curing light for three seconds on Xtra Power mode.

- Gingival Sulcus Preparation: Ultrapak™ knitted cord Size #0 was packed into the gingival sulcus to prepare for etching.

- Etching Uncut Enamel: A 30-second etch was performed using Ultra-Etch 35% phosphoric acid on the uncut enamel.

- Adhesive Application and Thinning: Peak Universal Bond adhesive was applied and thinned with air and suction.

- Cementation: The veneers were cemented using PermaShade™ LC luting resin in the Translucent shade (not available in Europe).

- Cementation Results: The final cementation resulted in a stable and esthetically pleasing veneer placement.

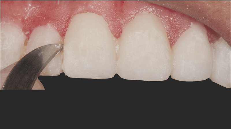
- Facial Anatomy: To develop the facial anatomy, football diamond and long, thin diamond burs were used. A lobed diamond bur was used to create the lines of Retzius (SR lines). The initial polishing was completed with Jiffy™ Natural polishers, then the final luster was achieved with Ultradent™ Diamond Polish Mint and the Jiffy™ Goat Hair Brush (not available in Europe) to not remove the tertiary anatomy.
Outcome and Reflection
The procedure successfully addressed the patient’s esthetic concerns by masking the discoloration of her upper anterior teeth and achieving a natural, balanced look with her lower anteriors. The use of no-prep direct-bonded composite veneers provided a conservative, highly effective solution that respected both the patient’s financial constraints and desire for minimal invasiveness.
About Dr. Fischer-Jessop

Dr. Jaleena Fischer-Jessop, DDS, MBA, graduated with honors in Oral Surgery from Loma Linda University School of Dentistry in 2002. She later completed a two-year certification through the American Orthodontics Society. Dr. Fischer-Jessop served on the Utah Dental Association board for two years. She currently serves on the National Advisory Board and has been an adjunct professor at the University of Utah Dental School since 2014. She went back to school to earn her MBA in 2023 from the Eccles School of Business at the University of Utah. Dr. Fischer-Jessop has a solo dental practice where she has worked for 22 years with an emphasis on esthetic and minimally invasive dentistry. Dr. Fischer-Jessop has been married to Neil Jessop for 31 years and they have two children, Kazia and Cambri Jessop.
