A Daring Idea with Overwhelming Results
User Report by Dr. Petteri Viljakainen
When it comes to composite restorations, I personally prefer to work with a number of different materials and systems. According to the requirements of the individual clinical case, I am thus able to choose the most suitable product and technique. Besides the conventional multi-shade composite systems in combination with a layering technique, I have had very good clinical results with a simplified approach and one shade composites for some time now.
When a 66-year-old female patient presented herself in my practice with five restorations that had to be replaced due to age and stains, I was eager to see what kind of results I could achieve with a novel one shade composite in the anterior region.

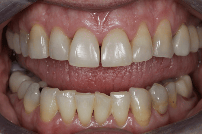
Before
Initially, we performed a tooth prophylaxis treatment. Afterwards, I replaced the five Class IV and Class V restorations on teeth 12 to 23. Transcend™ universal composite (Ultradent Products) was the material of my choice for this case, as with Transcend composite I effectively only had to use one single shade, called Universal Body. Additionally, there is not even a need to apply any blocker or opaquer.
When I started my restorative protocol, I was well aware that it might be a daring idea to use only one single shade for esthetic restorations in the anterior region, as the composite is expected to blend seamlessly with any tooth color. If it did not work out properly, I would have to redo the entire treatment. Despite my doubts, I decided to follow my approach and was entirely surprised and equally overwhelmed by the result.



Replacement of old restorations
(pictures under a polarized filter)
Transcend Universal Body blends perfectly with the natural dentition
The Transcend composite shade Universal Body blended perfectly with the surrounding tooth color and my patient was more than happy with her new esthetic appearance. The entire result looked very appealing so that you would hardly notice the difference between the restoration and the natural tooth. Additionally, Transcend composite shows a great balance between opacity and translucency, due to the specific Resin Particle Match™ technology.


The results
Apart from the beautiful outcomes, Transcend composite is extremely easy to handle and to manipulate. I like to heat all composites prior to using them for anterior restorations. Some of them will turn a bit more liquid and others remain stiffer. Transcend composite reacted very well to the heating procedure, which made it even more comfortable to handle. The simplified treatment protocol without the time-consuming layering protocol positively contributes to the concept of streamlined and efficient practice processes. Furthermore, Transcend composite shows great stability regarding color and shrinkage and only requires a minimal polishing effort.
From an economic point of view, Transcend composite is equally interesting as I do not have to keep a broad range of different composite colors in stock. I can reduce my inventory significantly, which facilitates the entire organization and ordering process for me and my team. Composite material has its price, and it is always embarrassing when you have to throw away capsules or syringes that have barely been used, but cannot be applied anymore due to the expired shelf-life. Thus, Transcend composite helps me to avoid the waste of material and money.
Transcend composite is ahead of its time in many respects. As it blends impeccably with the anterior teeth it is also equally suitable for restorations in the posterior regions of the mouth. I even have closed diastemas up to 2 mm with the Transcend composite Universal Body shade and have to say, it worked perfectly. For me, Transcend composite is an innovative, future-proof product, which I will keep using in my practice. I highly recommend my dentist colleagues try it themselves and see how it works.
About the User:

Dentist Petteri Viljakainen
- Graduation, University Helsinki, Finland in 2009
- Dentist and partner at the eSmile practices in Espoo and Helsinki, Finland
- focused on cosmetic dentistry
- Focus & Special Interests:
- Cosmetic and aesthetic dentistry, with continuous participations in lectures and seminars worldwide
- Memberships:
- Accredited member of the American Academy of Cosmetic Dentistry (AACD)
- Accredited member of the British Academy of Cosmetic Dentistry (BACD)
- Accredited member of the IAS Academy
- Other activities:
- Key Opinion Leader for leading dental manufacturers
- International lecturer and hands-on trainer on dental materials and techniques as well as on dental photography
